Passer au contenu principal
DR YOUSSEF Lamjed
ACCEUIL
LES TRAITEMENTS
IMPLANTS
FACETTE
COURONNE & BRIDGES
INVISALIGN
PROTHESE MOBILE
Honoraires Conventionné
GALLERIE AVANT/APREES
facette
Implants
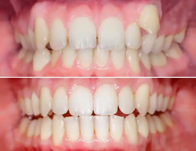
Clear Aligner
Couronnes & Bridges
Prothèse Flexible
PRENDRE RENDEZ-VOUS
Contactez-Nous
Apropo
EN/FR
Clear Aligner Before & After